O avanço do Alzheimer no cérebro. Cientistas descobrem as causas

Cientistas descobrem os motivos do avanço do Alzheimer no cérebro e pretendem encontrar formas de retardar a evolução da doença com novos tratamentos.
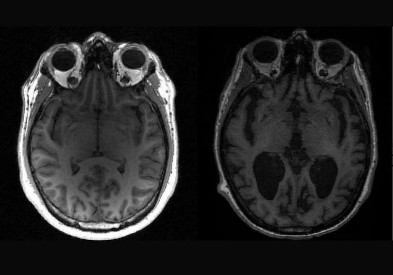
A novidade foi Publicada na revista Science Advances. Pela primeira vez, o estudo foi feito com dados humanos. Pesquisadores estudaram cadáveres de pacientes com a doença e de pessoas que convivem com o mal desde o grau leve até o mais grave.
Eles relataram que proteínas tóxicas se agrupam e chegam a diferentes regiões do cérebro precocemente. Lá, elas se acumulam ao longo de décadas.
A nova teoria
A pesquisa alterou a teoria de que aglomerados se formavam apenas em um local específico do cérebro (padrão visto em ratos) e depois, se espalhavam por todo cérebro, da mesma forma que um câncer espalha.
O novo estudo aponta que, embora essa disseminação possa ocorrer, ela não é de fato o principal fator para a progressão da doença.
Proteínas tóxicas
O objetivo era rastrear a proteína tau, uma das duas proteínas-chave que implicam na condição. Ela é culpada por vários tipos de demência.
Na doença de Alzheimer, a tau e outra proteína chamada beta-amiloide se acumulam em agregados e fazem com que as células cerebrais morram e o cérebro encolha.
É esse processo que resulta em perda de memória, alterações de personalidade e dificuldade para realizar as tarefas cotidianas.
Atrasar a doença
De acordo com o químico da Universidade de Cambridge e responsável pelo estudo, Georg Meisl, o estudo conseguiu determinar que os agregados levam cerca de cinco anos para dobrar de quantidade.
“Talvez se pudermos melhorá-lo um pouco, possamos atrasar significativamente o início de uma doença grave. Esperamos que este e outros estudos semelhantes ajudem a desenvolver tratamentos futuros que tenham como alvo a tau”.
Com informações de Estadão

Cientistas descobrem chave para “acordar” sistema imunológico contra o câncer
Menina que luta contra o câncer recebe 60 mil mensagens de aniversário; solidariedade
População de tigres dobra na Índia, em 10 anos; veja como conseguiram
Bombeiro salva ninhada de cachorrinhos órfãos que resgatou em incêndio e adota 2 deles
Bad Bunny defende países latino-americanos na final do Super Bowl e faz história
Cão resgata menino com autismo perdido na neve e vira herói nos EUA
Mais um paciente tetraplégico mexe os braços e dedo do pé, após receber a polilaminina; vídeo
Barbeiro herói salva duas crianças que estavam em carro desgovernado: “usado por Deus”; vídeo
Gentileza: motociclista para e ajuda idosa a atravessar avenida no meio da chuva; vídeo
Pai dá abraço nos filhos após carro em que estavam cair no barranco: é a vida que vale: vídeo
Lei reconhece vínculo afetivo com pets e permite sepultamento junto do tutor