Estudo com droga experimental cura diabetes tipo 1

Um estudo com uma droga experimental conseguiu regenerar células produtoras de insulina e aponta para a cura do diabetes tipo 1.
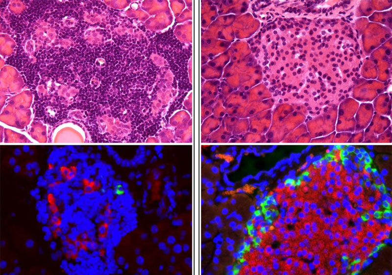
Uma pesquisa em cobaias publicada na ‘Nature Communications’ na segunda-feira, 16, mostra que substância a BL001 pode regenerar células que produzem hormônio envolvido na metabolização da glicose.
E mostrou potencial para prevenir os sintomas da doença em cobaias.
O estudo teve a coordenação do Centro Andaluz de Biologia Molecular e Medicina Regenerativa, em Sevilha, na Espanha.
Como
Os pesquisadores desenvolveram uma droga que impede que o sistema imune ataque as células beta do pâncreas, responsáveis pela produção de insulina.
A insulina, por sua vez, é um hormônio envolvido no aproveitamento da glicose pelas células.
Sem a insulina, pacientes ficam com muito açúcar no sangue, condição tóxica para o organismo, que pode levar à cegueira e a amputação das pernas.
Trata-se de uma pesquisa experimental, feita em animais.
No entanto, a chegada desse tratamento aos pacientes pode levar alguns anos.
A droga usada pelos cientistas utiliza a BL001, uma substância similar a outra do fígado que combate a inflamação em órgãos digestivos e protege células de morte precoce.
Em cobaias, a droga foi capaz de impedir a hiperglicemia (aumento do açúcar no sangue) e regenerar as células beta do pâncreas, aumentando a secreção de insulina.
Isso significa que, em vez de de injetar insulina constantemente, pacientes que utilizarem a droga no futuro poderiam secretar insulina naturalmente, já que a substância impede a morte de células que produzem o hormônio.
A pesquisa pontua que a maioria das iniciativas que tentaram tratamentos do tipo não sustentaram a produção de insulina ao longo do tempo – mas que, agora, cientistas conseguiram “reverter” a diabetes tipo 1 em ratos.
“Nós mostramos que, com a BL001, prevenimos e revertemos a diabetes em três tipos diferentes de modelos animais com diabetes tipo 1”, escreveram os autores no estudo.
Os cientistas acompanharam as cobaias e demonstraram que os exames de sangue não apontavam substâncias consistentes com a presença da diabetes tipo 1.
Agora, o próximo passo da pesquisa é o desenvolvimento de uma molécula mais estável da BL001, que poderá ser testada em seres humanos.
Com informações do G1

Repórter cadeirante entrevista Dra. Tatiana Sampaio sobre a polilaminina e abraço emociona; vídeo
Dra. Tatiana da Polilaminina estará no Roda Viva, na estreia de Ernesto Paglia, nesta segunda-feira
Paraplégico fica de pé pela primeira vez 1 mês após injeção da polilaminina; vídeo
Vacina contra dependência de crack e cocaína: Brasil vai começar testes em humanos
União deverá bancar 80% dos remédios contra câncer no SUS, determina o STF
Pesquisadores brasileiros desenvolvem moléculas que matam câncer cerebral
Bombeira se aposenta, ganha homenagem e se emociona: “hora de cuidar de mim”; vídeo
Começa Feirão Limpa Nome; veja onde negociar dívidas com 99% de desconto
20 anos sem Gisberta, a brasileira que virou música e obrigou Portugal a combater a transfobia
Criança interrompe missa com gatinho e pede para o padre abençoar o felino; vídeo
Autista, filha de doméstica e pai analfabeto, é aprovada em Medicina: “quebra de ciclo histórico”
Desconhecidos recolhem refrigerantes derramados na pista, devolvem ao motorista e vídeo bate 7 milhões