Japão faz 1º transplante de tecido pulmonar de doador vivo

Uma mulher que teve sérias complicações respiratórias recebeu o 1º transplante de tecido pulmonar de doador vivo em pacientes com Covid-19.
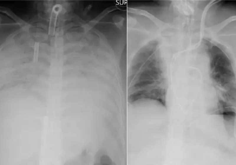
A cirurgia foi realizada no Hospital Universitário de Kyoto e durou 11 horas. Uma equipe multidisciplinar de 30 pessoas foi responsável pelo procedimento, na semana passada.
De acordo com o hospital, este caso foi o primeiro em que um tecido pulmonar foi transplantado de doadores vivos para um paciente com Covid-19. O sucesso do procedimento trouxe esperanças para pessoas que ficaram com sequelas da doença.
Procedimento
Por opção da família, o nome da paciente não foi divulgado. Ela vive em Kansai, no Japão, e contraiu a Covid-19 no final do ano passado.
As complicações levaram a paciente a ficar por meses em uma máquina que funcionava como um pulmão artificial, de acordo com o Hospital da Universidade de Kyoto.
A covid deixou sequelas fortes no pulmão da mulher, a ponto de o órgão não funcionar mais sem apoio de um aparelho.
O doador
Com a necessidade de transplante, veio também a necessidade de um doador compatível. Só que o marido e o filho da mulher se ofereceram para doar partes de seus pulmões e o hospital começou a pensar a respeito.
Dr. Hiroshi Date, cirurgião torácico do hospital que conduziu a operação, disse que o sucesso da cirurgia deu esperança aos pacientes que sofrem de graves danos pulmonares causados pela Covid-19.
“Demonstramos que agora temos a opção de transplantes de pulmão (de doadores vivos)”, disse ele em entrevista coletiva na última quinta-feira.
Por Monique de Carvalho, da redação do Só Notícia Boa – Com informações de CNN

Vogue dos EUA crava: Wagner Moura vai vencer o Oscar de Melhor Ator
Filme de Michael Jackson terá álbum especial com CD, 2 LPs e fita cassete; veja
Pílula contra menopausa acaba com calorão e suor noturno em 1 semana; aprovada no Reino Unido
Oscar 2026: veja quem são os 70 brasileiros que podem votar na premiação de Hollywood
Caminhoneiro ajuda avião em pane a pousar no meio da estrada: “vou cair”
Cachorrinha muito magra e triste, é resgatada à noite, adotada e fica linda; vídeo
WhatsApp para crianças: pais já podem controlar mensagens para os filhos
Vídeo da esposa que mandou marmita com bilhete lindo para o marido na obra bate 9 milhões
Idoso que teve direito à polilaminina negado pela Justiça já mexe as pernas; vídeo
Chef premiado de SP estreia programa sobre gastronomia, vinhos e famosos; vídeo
Decreto ‘Justiça por Orelha’ já está valendo: multa até R$ 50 mil por maus-tratos