Cientistas descobrem “novo órgão” do corpo humano

Um “novo órgão” do corpo humano foi descoberto por cientistas da Escola de Medicina da Universidade de Nova York (NYU), nos Estados Unidos. Os resultados foram publicados na revista “Scientific Reports”.
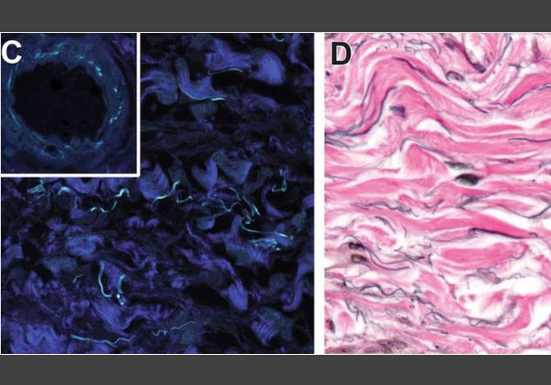
É um espaço repleto de cavidades preenchidas por líquido, presente entre os tecidos do nosso corpo, por isso ele é chamado de intersticial (entre tecidos) e já é considerado um dos maiores órgãos do corpo humano, assim como a pele.
Os cientistas afirmam que essa rede de cavidades de colágeno e elastina, cheia de líquido, reuniria mais de um quinto de todo o fluído do organismo e pode mudar a forma como entendemos o funcionamento dos órgãos, tecidos e doenças.
Os pesquisadores acreditam que esta estrutura anatômica pode ser importante para explicar a metástase do câncer, o edema, a fibrose e o funcionamento mecânico de tecidos e órgãos do corpo humano.
Antes, se acreditava que essas camadas intersticiais do corpo humano fossem formadas por um tecido conjuntivo denso e sólido. Mas, na realidade, elas estão interconectadas entre si, através de compartimentos cheios de líquidos.
Estes tecidos ficam localizados debaixo da pele, recobrem o tubo digestivo, os pulmões e o sistema urinário, rodeiam as artérias, veias e fáscia (estrutura fibrosa onde se fixam músculos). Ou seja, são uma estrutura que se extende por todo o corpo.
Essas estruturas não são visíveis com nenhum dos métodos padrões de visualização da anatomia humana.
Agora, os cientistas puderam identificar esse novo “órgão” graças aos avanços tecnológicos da endomicroscopia ao vivo, que mostra em tempo real a histologia e estrutura dos tecidos.
Qual sua função?
Até agora a ciência não estudou profundamente nem o fluxo, nem o volume do fluído intersticial do corpo humano. Por enquanto, a identificação desse “espaço intersticial” levanta várias hipóteses.
Os especialistas acreditam que essa rede de espaços interconectados, forte e elástica, pode atuar como um amortecedor para evitar que os tecidos do corpo se rasguem com o funcionamento diário – que faz com que os órgãos, músculos e vasos sanguíneos se contraiam e se expandam constantemente.
Além disso, acreditam que essa rede de cavidades é como uma pista expressa para os fluídos. Isso poderia embasar a hipótese de que o câncer, ao atingir o espaço intersticial, possa se expandir pelo corpo muito rapidamente. É a chamada metástase.
Por outro lado, os autores do estudo acreditam que as células que formam o interstício mudam com a idade, podendo contribuir com o enrugamento da pele e com o endurecimento das extremidades, assim como a progressão de doenças fibróticas, escleróides e inflamatórias.
Com informações da BBC

Butantan amplia para 10 cidades a aplicação da vacina contra chikungunya
Polilaminina será distribuída pelo SUS, após aprovação da Anvisa, diz dra. Tatiana Sampaio
Repórter cadeirante entrevista Dra. Tatiana Sampaio sobre a polilaminina e abraço emociona; vídeo
Dra. Tatiana da Polilaminina estará no Roda Viva, na estreia de Ernesto Paglia, nesta segunda-feira
Paraplégico fica de pé pela primeira vez 1 mês após injeção da polilaminina; vídeo
Vacina contra dependência de crack e cocaína: Brasil vai começar testes em humanos
Bombeira se aposenta, ganha homenagem e se emociona: “hora de cuidar de mim”; vídeo
Começa Feirão Limpa Nome; veja onde negociar dívidas com 99% de desconto
20 anos sem Gisberta, a brasileira que virou música e obrigou Portugal a combater a transfobia
Criança interrompe missa com gatinho e pede para o padre abençoar o felino; vídeo
Autista, filha de doméstica e pai analfabeto, é aprovada em Medicina: “quebra de ciclo histórico”
Desconhecidos recolhem refrigerantes derramados na pista, devolvem ao motorista e vídeo bate 7 milhões